Un hogar para blanco
La alimentación de los gatos es un aspecto fundamental para que determinadas enfermedades no hagan mella en estos especiales felinos. Para bien o para mal es de primordial importancia y siempre debemos vigilar que nuestros sigilosos amigos tengan una dieta adecuada. Otra causa de enfermedad muy común en gatos son las derivadas por el estrés, cuyos síntomas a veces se pueden confundir. Pero… ¿qué pasa cuando hablamos de un gato callejero?
Hoy veremos el caso de Blanco un gato callejero de unos dos años, salvado por esos voluntarios con inmenso amor a los animales. A Blanco el estrés y la desnutrición le provocaron un desorden dando como resultado una larga estancia en nuestro servicio de hospitalización en cuidados intensivos.
A Blanco al igual que a su madre y hermanos los alimentaba un voluntario anónimo que todos los días, lloviera o hiciera sol, acudía a la parte trasera del taller en el que vivían. Los alimentaba, les hablaba, les daba cariño y amor. Un día el buen hombre no apareció. Sólo el hecho de haber fallecido evitó que pudiera volver a visitarlos y alimentarlos. La sensibilidad de “Blanco” le jugó una mala pasada y entró en un estado de estrés por separación que le impidió alimentarse correctamente. Dejó de comer y desarrolló una enfermedad llamada síndrome urológico felino (FUS), la cual impide a los gatos orinar y puede resultar en la muerte del animal.

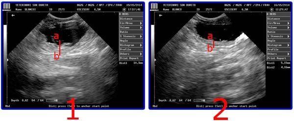
En la ecografía nº 1 se observa la mucosa muy engrosada y arrugada (mas de 10 mm ) con desprendimientos que son los que obstruyen la uretra de Blanco. Uns semana más tarde en la ecografía nº 2 la mucosa es más lisa, sin desprendimientos y con la inflamación reducida a la mitad
Reciben el nombre de FUS diversas enfermedades urinarias de los felinos, que causa irritación de la mucosa que recubre el interior de la vejiga y la uretra; provocando los diferentes síntomas que son característicos de esta patología: dificultad para orinar, presencia de sangre en la orina, e incluso en algunos casos, obstrucción total. Este proceso afecta por igual a machos y a hembras, aunque en los machos, por las características anatómicas de su sistema urinario, reviste mayor gravedad.
El FUS se produce muchas veces por precipitación y congregación de los cristales que se crean a partir de los materiales de desecho presentes en la orina y que habitualmente provienen de los componentes de alimentos y piensos de baja calidad. Pero también es muy común que aparezcan inflamaciones de la vejiga en situaciones de estrés.
Blanco llegó a la Clínica Veterinaria Son Dureta con un cuadro agudo de dolor, con la vejiga completamente inflamada, la uretra colapsada y también con un prolapso rectal producido por el esfuerzo al intentar orinar (El prolapso se produce cuando parte del recto sale al exterior por el esfínter). El primer paso del servicio de urgencias 24 horas de la Clínica Veterinaria Son Dureta fue realizar el diagnóstico por imagen, comprobando que si bien los intestinos estaban en buenas condiciones, la vejiga sufría una gran inflamación. Inmediatamente se pusieron manos a la obra para reducir el prolapso y sondar a “Blanco”, a la espera de los resultados de los análisis. Éstos demostraron que la cistitis que padecía no se debía a ninguna infección y tampoco aparecieron rastros de sedimento urinario (cristales), con lo que confirmaba estrés como principal causa. El diagnóstico fue cistitis idiopática por estrés y principio de lipidosis hepática por falta de alimento.
El tratamiento de Blanco consistió en su ingreso en nuestro servicio de cuidados intensivos con fluidoterapia y medicación intravenosa, sondarle el conducto urinario para que pudiera orinar junto con una buena alimentación blanda. También se le sometió a una intervención quirúrgica para la reducción del prolapso rectal Al mismo tiempo la dedicación de tiempo para él con juegos y mimos para que se sintiera otra vez cuidado y mimado, a lo que responde muy gratamente dado su estupendo carácter.
Blanco lleva dos ya semanas hospitalizado, porque a pesar de que está evolucionando favorablemente, es un proceso lento de recuperación y aun debe de permanecer sondado.
Los voluntarios corren con los gastos médicos de su propio bolsillo con la ayuda de algunos donativos de gente desinteresada.
Pero la principal preocupación es encontrar un hogar definitivo para blanco, para que cuando le demos el alta pueda ir con una familia ya que es un gato que necesita el cariño y cuidados imprescindibles para que no se vuelva a producir este episodio de estrés.
Al terminar este artículo Blanco ya ha sido dado de alta de UCI pasando a hospitalización normal. Sigue sin encontrar un hogar de adopción o acogida, si quieres colaborar económicamente o estás interesado en adoptarle sigue este enlace.
Artículos relacionados para saber más:
Servicio de Urgencias 24h de la Clínica Veterinaria Son Dureta [ Leer + ]







