El peligro de las garrapatas
En esta época del año debido a las condiciones de humedad y temperatura las garrapatas empiezan a ser un problema serio ya que infestan bosques y zonas de trasiego de ganado. Hay que estar muy alerta porque en algunos casos una sola garrapata puede causar infecciones parasitarias en la sangre muy graves como la babesia, anaplasma, etc.
Esta semana hemos escogido la urgencia de Ronie, un Schnauzer que acudió al servicio de urgencias veterinarias 24h de la Clínica Veterinaria Son Dureta con un cuadro de apatía, vómitos y fiebre sin causa aparente. Al final todo resultó ser consecuencia de la picadura de una garrapata.
En ocasiones nuestros perros enferman repentinamente sin que percibamos porqué. Y muchas veces a pesar de que los tenemos bien cuidados y atendidos; pero por alguna u otra razón se nos olvida pensar en lo más obvio. Este fue el caso de Ronie, un Schnauzer de diez años que nunca ha tenido problemas de salud y que acude puntualmente a sus vacunaciones y revisiones anuales.
Su familia acudió a la Clínica Veterinaria Son Dureta porque lo veía muy apático, no acudía a las llamadas, apenas comía (siendo el muy comilón) y llegando a vomitar lo poco que había ingerido. Y todo este cuadro apareció de repente, en apenas 24 horas y sin una causa aparente.
Lo primero que nos llamó la atención en la exploración de Ronie fue su letargia, ya que es un perro muy alegre y vivaracho, el tono purpura generalizado de su piel y después su elevada temperatura. La época que estamos y las condiciones ambientales ya nos hacían sospechar de algún tipo de cuadro infeccioso. En la exploración también detectamos una garrapata, una sola, ya que Ronie es un perro que suele estar protegido con pipetas, aunque su familia nos confirmó que habían estado en el campo los dos últimos fines de semana en un lugar frecuentado por ovejas. Todo iba encajando.
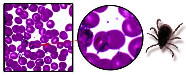
La analítica de sangre nos indicaba una infección y una anemia importante; la citología nos daba una imagen en el microscopio que no daba lugar a dudas: Ronie tenía la sangre infectada por un parasito llamado Mycoplasma haemocanis (también conocido como Haemobartonella canis) transmitido por la picadura de la garrapata.
Esta infestación muy aguda y virulenta planteaba el ingreso de Ronie en el servicio de hospitalización de la Clínica Veterinaria Son Dureta para controlar la fiebre, la infección y la incipiente deshidratación. Quedó ingresado con fluidoterapia y medicación intravenosa. Era la primera vez en diez años que Ronie dormía fuera de casa sin su familia.
Dos días después de su ingreso, Ronie fue dado de alta del servicio de hospitalización, aunque durante al menos cuatro semanas más deberá estar medicándose y deberemos repetir el control de sangre para estar seguros que podemos suspender el tratamiento.
Hemos presentado este caso de nuestro servicio veterinario de urgencias 24 horas en Mallorca, porque nos sirve para recordar que nunca debemos bajar la guardia ante los parásitos externos, especialmente pulgas y garrapatas sobre todo en esta época. De hecho este caso no ha sido único, en las dos últimas semanas hemos tenido una docena de ellos, en alguno de los cuales ha sido necesaria una transfusión de sangre por la anemia tan grave que presentaba.
Una picadura de garrapata puede transmitir Babesia, Anaplasma, Mycoplasma y Ehrlichia entre otras muchas infecciones, y cada una de ellas, si no se trata a tiempo, puede provocar la muerte de nuestro perro o gato. Ronie tuvo la suerte que su familia siempre está muy pendiente de él.
Artículos relacionados para saber más:
Servicio de Urgencias 24h de la Clínica Veterinaria Son Dureta [ Leer + ]
Transfusiones en perros [Leer + ]








Por favor me pueden ayudar indicándome que tratamiento adicional usaron a mas de la doxiciclina para el problema alérgico en la piel y si la reacción alérgica es consecuencia de la presencia de el paracito en la sangre o por que. muchas gracias.
Mi perrita Haba presenta exactamente los mismos síntomas. El Doctor Ayabaca la está atendiendo. Es un caso muy particular por lo que solicitamos de manera urgente nos puedan ayudar con cualquier información al respecto. Vivimos en la ciudad de Quito Ecuador y no ha sido factible encontrar información sobre éste tema. Sé que el perrito está mucho mejor. Por favor. Estaré eternamente agradecida por su ayuda.